大肠息肉的治网疗方法(治疗大肠息肉,无非就这几个方法)
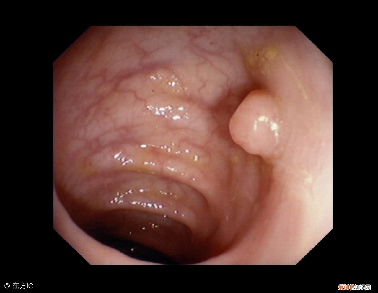
其实,大肠息肉就是所有向肠腔突出的赘生物总称 。这包括肿瘤性和非肿瘤性,但前者与癌发生关系密切,是癌前期病变,后者与癌的发生关系较少 。

文章插图
大多数息肉起病比较隐蔽,在临床上没有任何发病的症状 。然而,一些较大的息肉会引起肠道症状,因为大便习惯改变,上大便的次数增多,而且大便带有粘液或者带血 。患者偶尔有腹痛感,但是有极少数人在大便的时候会有肿物从肛门脱出,有些患者可能有长期便血或贫血 。
即使出现某些消化道症状,例如腹网胀,腹泻,便秘等,也会因为不起眼还有不典型而经常被人忽视 。患者的症状一般都以便血、大便带血、粘液血便去医院看医生,医生又常误诊为痔疮等肛门疾患或“痢疾”而延误检查 。一般有蒂息肉患者会采用高频电凝圈套切除法切除息肉,一些患者的息肉呈半球状的会采用高频电凝灼除法 。

文章插图
有些患者的息肉是单发或呈少数球状,一网般采用活检钳除法,这种方法简便易行,又可以取活组织病理检查 。一般无需留组织学标本的患者可以采用激光气化法和微波透热法 。有部分患者是扁平息肉,或者是早期癌患可以用粘膜剥离嵌除法 。
“而密接”摘除法,主要用于长蒂大息肉,和一些难以悬于肠腔者则采用大息肉密接肠壁电凝切除的方法 。内镜、外科手术联合治疗法,这个方法主要用于息肉病患者,就是将息肉稀疏区以手术切除,这样就可达到治疗目的,又可维持大肠正常功能 。
【治疗大肠息肉,无非就这几个方法 大肠息肉的治疗方法】

文章插图
分期批摘除法这个方法主要用于10~20颗以上息肉患者活性和无法一次切除的患者 。治疗肠息肉也要从改善自身的体质开始做起,这就要求患者多吃碱性食品 。通过这种方法来改善自身的酸性体质,同时提高自身的免疫力 。
推荐阅读
- 什么地图可以看到实景 实景地图网站
- 烤箱预热几分钟 烤箱预热要多久
- 拔完火罐后的正确做法 拔罐后注意事项
- ps怎样调出色环工具,ps颜色面板怎么调成一大块的
- 牙齿矫正对颜值有多大影响 牙齿矫正图
- 可以咋设置Word自动编号,word怎么添加自动连续的编号
- 每日生肖运势全解析! 易久堂生肖运程
- 怎么给电脑设置开机密码,可以怎么样设置电脑开机密码
- PPT可以怎么样插入Excel
