张阿姨(化名)今年55岁了,退休后一直清闲在家 。刚好碰到灵芝种植加工厂招工,她想着闲着也是闲着,不如找份工作做做,但是没想到这个决定却让她吃尽了苦头……

文章插图
咳嗽咳痰,“枇杷露”也不管用
医院一查,没那么简单
工作了几个月后,张阿姨开始出现咳嗽咳痰,咳痰还非常费力,并且感觉有些胸闷气急 。
张阿姨以为是“感冒”了,就到药店买了些“枇杷露”止咳,但咳嗽咳痰非但没有减轻,反而越来越重,气急也越来越明显 。

文章插图
这下张阿姨着急了,赶紧到当地医院去看,查了肺CT提示“两肺感染”,血炎症指标升高 。当地医院给予强有力的抗感染治疗,但依旧没有改善症状,反而气急到无法行走 。
于是,张阿姨在家属的陪同下来到杭州市红十字会医院呼吸与危重症医学科门诊 。汝触会主任接诊了张阿姨 。

文章插图
仔细询问病史,查看报告单后,汝主任初步判断张阿姨是真菌感染,而且很可能跟她从事的工作有关系 。鉴于张阿姨的病情严重,汝主任立刻安排张阿姨住进病房 。
汝主任说,患者的动脉血中氧分压仅为正常人的一半,所以才会出现讲话都气急的症状,我们立即给予患者高流量温湿化仪帮助她呼吸并供氧,虽然这样可以改善她的症状,但是为了找到“真凶”,还须进一步做气管镜检查 。
健康人体具有较强的抵抗力
但这个菌会趁“虚”而入
气管镜检查结果进一步验证了汝主任的判断,病原菌二代测序提示白假丝酵母菌(真菌的一种),气管镜肺泡灌洗液培养也是同样的病菌 。
再结合实验室检查结果,张阿姨被确诊为真菌感染合并过敏性肺炎 。随后,医生针对病因给予抗真菌抗过敏治疗,张阿姨的病情也一天天好转起来 。

文章插图
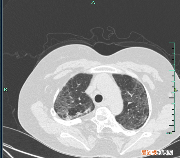
治疗前胸部CT可及双肺斑片状密度增高影

文章插图
治疗后对比病灶较前明显吸收
汝主任讲道,健康人体对念珠菌具有较强的抵抗力,但是当患者机体免疫力下降的情况下,它就会趁“虚”而入,主要包括以下几种情况:
1. 长期大量使用广谱抗生素,使正常菌群比例失调;
2. 使用糖皮质激素、免疫抑制剂、抗肿瘤药物以及放射性治疗的患者;
3. 本身患有基础疾病,如恶性肿瘤、 糖尿病、尿毒症、营养不良及烧伤等;
4. 中心静脉导管、导尿管的留置和大手术等,引起局部损伤,成为白念珠菌侵入的门户,机体抵抗力低下时在体内繁殖致病 。
属于免疫正常人群
怎么会得这个病?
张阿姨本身属于免疫正常人群,怎么也会得念珠菌肺炎呢?这就要从环境考虑了 。
灵芝又称菌灵芝或木灵芝,为担子菌类多孔菌科灵芝属 。张阿姨是在有大量真菌的环境中工作,大量的真菌孢子被吸入她的肺里,对她的肺造成侵袭性感染 。
同时,张阿姨自身的免疫功能被激发,形成了所谓的类似“炎症瀑布”反应 。真菌孢子又成了张阿姨肺部的一种过敏原,从而对她的肺部造成二次打击,这是导致她发病的主要原因 。
但是大家也不要过分担心,平日吃灵芝或者灵芝孢子粉是不会导致真菌感染的 。
医生提醒
生活和工作中,如有真菌感染的高危因素,如长久未居住的地下室、厂房、储藏室等,翻晒长久未使用的潮湿发霉的家用物品时,请戴好口罩!
推荐阅读
- 二年级语文上册:第五单元知识点总结,边练习边复习,建议收藏
- 玉镯戴久了摘不下来怎么办?这几个技巧要记住的
- 吃一次就让你忘不了的米粉肉是什么
- 手表换电池教程需要什么工具,天梭1853手表换电池图解
- 郫都区生态宜居示范区,成都环城生态公园郫都区规划
- 潍坊海边打卡 潍坊的海边好玩吗
- 广西龙胜夏日龙脊景色迷人
- 半干海参泡发的正确方法和步骤,半干海参泡发正确方法
- 脑干出血易在清晨发病须当心手术吗
