25岁的女孩小华(化名)说:“我的牙齿缝隙很大,让我在人际交往时都不好意思大笑,近距离与人说话时都会不自觉地拿手遮嘴,这让我很不自信 。”

文章插图
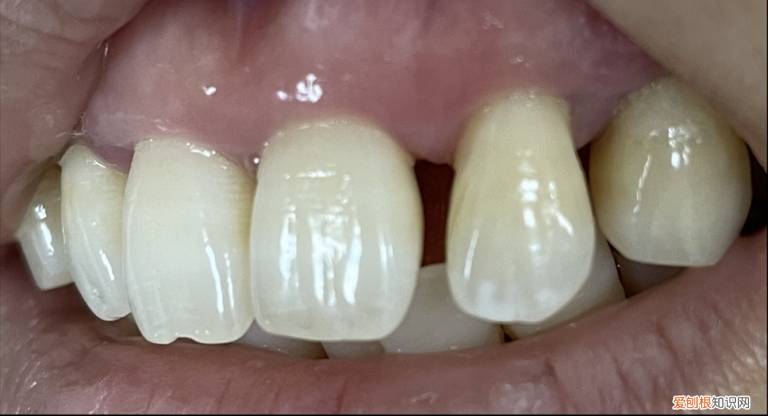
原来,小华因青少年时期乳恒牙替牙后,前牙存在较明显的牙缝,感觉严重影响了美观,求诊其他医院时,被告知需要正畸治疗或全瓷冠修复 。小华觉得正畸治疗时间太长,全瓷冠修复要付出磨除健康牙体组织的代价,所以都予以否定 。

文章插图

文章插图
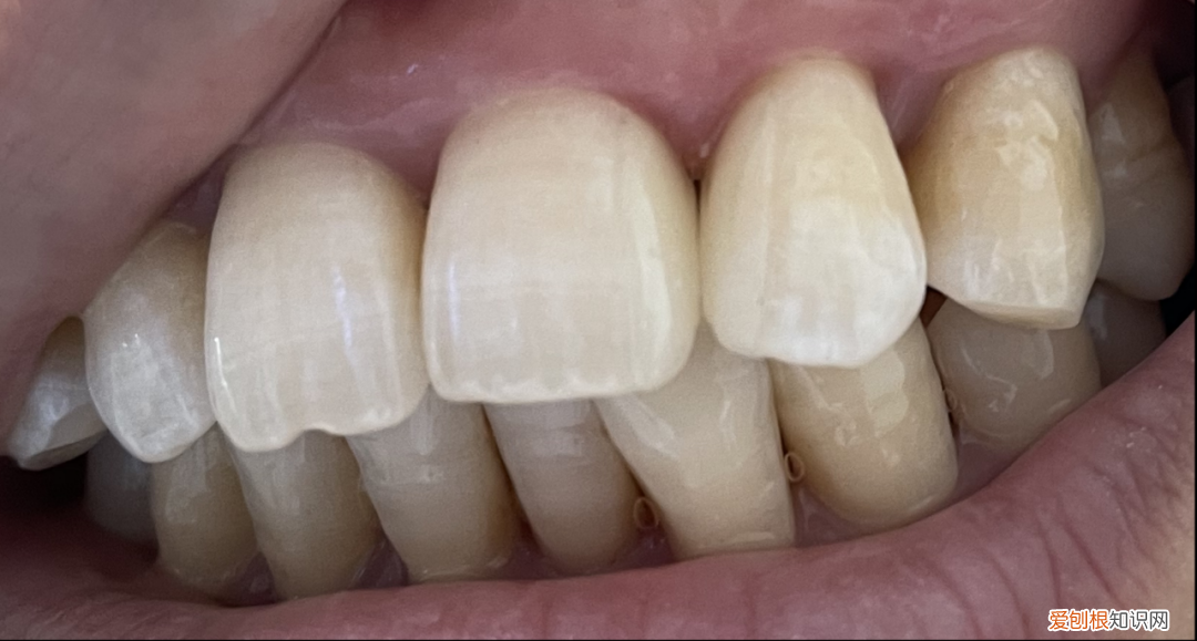
济南市口腔医院修复科医生陈佳接诊小华后,仔细检查了她的牙齿情况,发现小华出现牙间隙是生理性的骨量大于牙量、上颌牙前倾造成的,并非病理性的因素 。根据小华的情况,陈医生为患者采取了全瓷部分贴面修复的治疗方案,在解决了小华的主诉问题前提下,既大大缩短了治疗时间,也基本没有削磨健康牙体组织 。三天以后,陈佳医生为小华试戴、粘接做好的全瓷部分贴面,小华对治疗结果非常满意,高兴地一直说这可帮她解决了大烦恼 。
陈佳医生介绍,牙缝过大一般是发生在前牙比较多,严重影响了患者的美观性,那能否做贴面修复?首先,我们要综合评估,我们可以先给患者取一个模型,然后在模型上制作一个临时的贴面蜡型,看看修复后的效果,如果患者满意,我们再从患者口中进行牙体的预备,进行贴面的修复,如果是过大的牙缝,我们可能不太适合做贴面修复,我们可以通过正畸的方法来改善患者的牙缝,或者现在可以通过正畸和修复联合的方法,进行牙缝过大的一个修复过程 。牙缝过大用贴面修复,一般对牙体组织的磨损相对较少,它可以制作超薄贴面来修复患者牙缝过大 。
来源:掌上问政

文章插图
并在“我要爆料”板块
【全瓷贴面牙齿价格】
推荐阅读
- 儿童床垫哪个牌子的质量比较好
- 家常红烧鲤鱼简单做法(颜色鲜亮,色香味俱全,肉质软烂适中)
- 软饼干的做法
- Uzi官宣复出
- 黑曜石手串多少钱一串
- 合同到期公司不续签
- 坚持一个月减掉二十斤
- 湘西矮寨大桥详细介绍
- 新生儿喝什么奶粉好吸收营养丰富
