一家4人接连发现肺癌
16岁少年和外婆同一天手术
……
近日
深圳大学总医院介绍了
一段不寻常的接诊经历
▼
2021年底,14岁中学生小亮(化名)吃错药被送往医院抢救,当天CT检查时,医生意外发现他的右上肺有个磨玻璃结节 。就在这几年,小亮家里好几位亲戚接二连三查出了肺结节,其中就包括小亮的姨妈、外婆、爷爷 。

文章插图
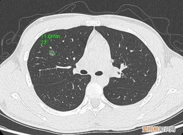
小亮的肺结节位于右上肺前段(1.16cm)
今年1月,父亲带着小亮和小亮外婆前往医院进一步就诊 。通过复查胸部CT,医生发现两人的肺结节都有不同程度增大,需尽早手术 。小亮和外婆当天就办了入院,并安排在同一天手术,好在两人手术都很成功 。
深圳大学总医院胸心外科张晓明主任表示,从医30多年,小亮是他遇到年纪最小的肺癌患者 。他提醒,早期肺癌的诊断和治疗一定是“越早越好”,小亮及外婆都是胸部CT检查中发现肺结节,说明每年的定期体检非常有必要,特别是家族中有肺癌病史的更要重视,应坚持定期胸部CT检查 。
一家人先后得了癌症
是什么原因?
癌症是不是会遗传下一代?
湖北省肿瘤医院胃癌内科首席专家
腹部内科主任徐慧婷解答
▼
癌症有一定的遗传性
癌症有一定的遗传性 。梅奥医学中心团队曾对2984名确诊的癌症患者进行过研究,发现超过八分之一的癌症患者具有相关的可遗传基因突变 。
不过,癌症并不是百分百遗传 。癌症的发生,简单讲是三个因素共同作用的结果:遗传基因、后天环境,以及偶然因素 。遗传基因以及后天相似的生活习性均会导致家族聚集性癌症高发 。
有遗传倾向的癌症也能预防
首先,了解自己的家族病史,如果直系亲属中有2~3人患癌,患的还是同一种癌,而且有患癌年龄较年轻的趋势,就要通过基因检测予以排查 。
第二,提倡健康生活方式,大概有80%的癌症与环境以及生活习惯有关,所以我们要规避那些不良的生活方式 。平常要戒烟限酒、少摄入腌制加工食品等,提倡健康的生活方式 。
第三,定时体检,及时筛查,癌症的三级预防中,二级预防是早发现、早治疗 。所以定期体检与筛查,尽早发现,及时治疗,才是抗癌的正确打开模式 。
